
2022年冬至2023年早春以来,广东茂名罗非鱼主养区陆续出现不明原因死亡,养殖户使用多种药物均无明显疗效。为了明确病因,湖南渔美康生物技术集团股份有限公司组织bat365官方网站汪开毓教授一行,深入养殖一线开展疾病诊断和调研工作。
通过广泛走访、现场采样、观察、剖解发现,不同规格的罗非鱼均可感染发病,体重50g至2000g左右的规格均可发生。病鱼体表症状不典型,大多数没有明显可见的肉眼病变,少数可见大小不等的浅表皮肤溃疡,或下颌等处灶状充出血,眼虹膜充血发红(图1 A-B),偶可在皮肤上见白色结节。剖解发现,鳃丝有少量异物附着,腹腔内可见多少不等的腹水;可在脾脏、肾脏、肝脏、心脏、肠道等多处器官发现广泛、多灶性、粟粒样白色结节样变(图1 C),其中脾脏和肾脏结节最多、最为典型,而肝脏、心脏和肠道偶见。此外,还可见肝脏肿大发黄,有的可见绿肝;胆囊极度扩张,剖解时极易破损,胆汁深墨绿色;消化道无食物,充满大量淡黄色粘液;偶可见脑膜充血。

图1,患病罗非鱼大体病理观察
A.病鱼皮肤溃烂;B.虹膜充出血;C.胆囊极度扩张,脾脏可见弥漫性大小不等的粟粒状白色结节
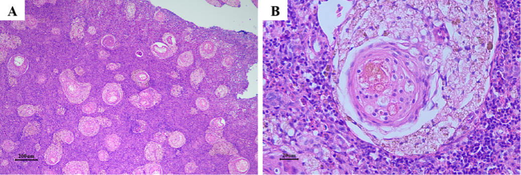
为了明确可能的病因,尽可能挖掘更多信息,现场开展了组织触片和血液涂片检查。Diff-Quik快速染色后显微镜下观察发现,组织和血液中巨噬细胞数量明显增多,胞浆极度扩张,其内可见近球形或椭圆形、单个或双个存在的蓝染的细菌样病原(图2 A-B),根据其形态及感染特征,初步怀疑为立克次氏体感染。

图2,血液涂片检测
A.可见大量巨噬细胞,胞浆极度扩张,胞核被挤于一侧;B.为A图红框部分放大图。胞浆内可见大量近球形或椭圆形、单个或双个存在的蓝染立克次氏体样病原(Diff-Quik染色)
为了进一步明确各组织的病变特点及准确鉴定致病病原,现场用4%多聚甲醛和2.5%戊二醛固定病变明显的组织,并采集新鲜样品带回实验室进一步开展细胞培养及分子生物学检测。组织病理学检测发现,脾脏、头肾中可见弥漫性灶性病变(图3 A),放大后可见小血管广泛性血管炎,血管内皮肿胀、坏死、脱落,腔内偶可见微血栓,血管平滑肌细胞不同程度肿胀,胞核变圆,血管周围被大量巨噬细胞包绕,形成管套状结构,巨噬细胞外可见1-2层由成纤维细胞包绕形成的包膜,巨噬细胞可从血管管腔和血管外周两个方向侵入血管壁,可在血管壁内平滑肌细胞间发现数量不等的侵入的巨噬细胞;随着病变进一步恶化,病变范围以血管为中心进一步扩大,血管结构完全消失,被大量巨噬细胞及坏死的细胞碎片填充,甚至坏死、腐离脱落,中心形成巨大的空洞,坏死灶周围由大量的上皮样细胞和成纤维细胞包绕,形成肉芽肿样病变。肝脏可见小灶性坏死,坏死灶内肝细胞变圆、体积缩小、深染,在部分血管周围及汇管区周围,可见大量巨噬细胞浸润,同时可见胰腺组织周围水肿,与周边肝实质间隙增宽,并伴随胰腺细胞变性坏死。心外膜明显增厚,大量巨噬细胞浸润,可见中度心外膜炎。鳃可见少量动脉瘤样变。
电镜检测结果发现,肉芽肿内可见数量不等的立克次氏体样病原(图4)。利用立克次氏体专用引物进行PCR扩增,电泳结果表明,脾脏、头肾组织样本立克次氏体检测为阳性,目的片段为476 bp(图5),测序后NCBI数据库比对表明,扩增的基因序列与立克次氏体同源性最高。此外,将新鲜组织样本接种EPC细胞,可在3天左右出现明显的细胞病变,培养物经PCR检测及产物测序亦发现立克次氏体感染。

图3,患病罗非鱼组织病理学观察
A.脾脏弥漫性多灶性血管炎;B.受损血管内皮细胞坏死脱落,管壁平滑肌细胞肿胀、变圆,血管外周可见大量巨噬细胞将血管包裹,形成管套样结构,血管壁内亦可见大量浸润的巨噬细胞,管腔内可见微血栓

图4,罗非鱼头肾巨噬细胞胞浆内立克次氏体样病原
A.中肾巨噬细胞;B.为A图的放大图,示立克次氏体样病原(箭头所示)

图5,PCR检测
M:DNA marker;1.头肾;2.脾脏
综上检测结果表明,引起本次广东茂名罗非鱼大面积发病的原因为:立克次氏体类病原感染导致的,以脾脏和头肾为主要病变靶器官的全身多脏器广泛性坏死性血管炎,但其致病病原具体是哪一种立克次氏体感染,还需要后续进一步深入研究,相关工作也在持续开展之中。
立克次氏体是一类严格胞内寄生的原核细胞型微生物,为多形性革兰氏阴性菌,直径约0.5-1.5μm,可引起人、畜及鱼感染发病。已有报道发现银鲑、大西洋鲑、海鲈、石斑鱼、真鲷等十几种经济鱼类均可感染,导致巨大的经济损失。虽然实验室药敏发现多种药物均有敏感性,然而由于其胞内寄生的特点,许多药物不能穿透细胞膜而到达细菌靶点,大大降低了在体药物疗效,故综合防控是降低该病发病死亡的主要途径。根据该病的特点,作者提供以下防控建议:
1.预防:放苗前彻底清塘和消毒。苗种需经专业机构检测阴性方可购买,避免立克次氏体从苗种端带入。合理养殖密度,重视水质和底质的定期调节,在疾病发生季节增加益生菌等水质底质调节频率,每周2次以上。此外,重视鱼体抵抗力的提高,不定期饲喂免疫增强剂,发病季节可在饲料中长期添加。
2.治疗:
①发病期间养殖管理:及时捞出发病鱼,减少传播源;增加巡塘,及时掌握病程进展;增加水体溶氧,减少应激。
②内服:强力霉素、氟苯尼考、无花果多糖、多维,根据推荐剂量拌料内服,7天一个疗程,连用2-4个疗程。
③外用:
消毒方案:聚维酮碘等温和消毒剂,每天1次,连用1-2次;
调水方案:芽孢杆菌、EM菌、光合细菌等活菌制剂,每2-3天一次,可根据情况增加使用次数;
改底方案:以具有增氧改底效果的底质改良剂为主,可与调水方案联合使用或间隔使用。
(学校新闻报道链接:https://news.sicau.edu.cn/info/1133/72170.htm)